Former Hawkeye punter prevails after traumatic leg injury
Nick Phelps thought he might never walk again. After three surgeries on his leg at University of Iowa Health Care, not only was he able to walk, but he also ran a marathon.
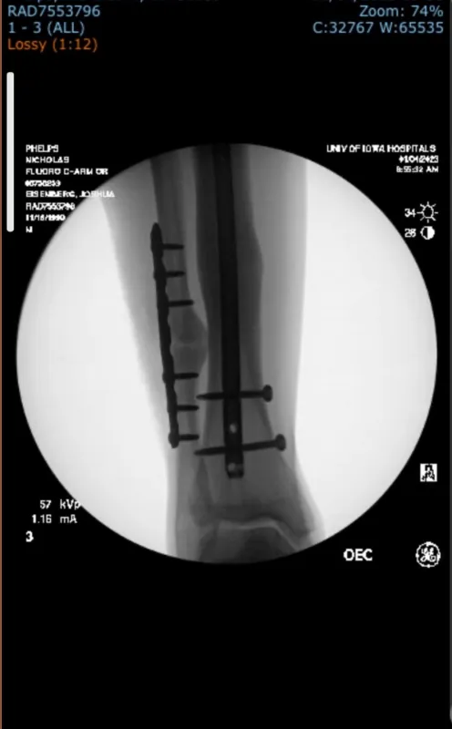
Former University of Iowa punter Nick Phelps knew it was bad as soon as he hit the ground. A teammate trying to block the ball during a punting drill in October 2021 had instead collided with him shin-on-shin.
“When I lifted my leg up, I could see bone sticking out, and where my toes were supposed to be, I saw my heel. My leg was in an L shape,” he says. “It was the most pain I’d ever felt. It was like someone took a chainsaw through my leg and then put it in a bonfire. At that point, I passed out.”
Later at University of Iowa Health Care, Phelps remembers talking to Matthew Karam, MD, an orthopedic surgeon who recommended same-day surgery to insert a titanium rod to stabilize the tibia. Both the tibia and the smaller fibula in Phelps’s right leg were broken.
“Dr. Karam told me that due to the possibility of compartment syndrome there was a 10% chance of leg amputation. And that’s when I broke down crying. I called my dad and told him I might never walk again, that this might be it for me,” says Phelps, who is from the western Iowa town of Kingsley. “I never dreamed I’d be able to play football again.”
Despite undergoing three surgeries in a year and a half — one to insert the rod on the tibia, another to fix the broken fibula that never healed, and the last to remove screws — Phelps was able to play football, at Iowa and then at Idaho State University during grad school. In February 2025, he completed the Mesa Marathon in Arizona.
“Because of Dr. Karam, I was able to run a marathon on a leg that I had three surgeries on. I was able to complete my college football career. I’ve done seven bodybuilding shows and a couple of powerlifting meets,” says Phelps, who graduated from Iowa in 2023 with a BBA. “It’s like his surgery made my leg better than what it was before. It was a big setback at the time, but I was able to bounce back and become a better version of myself physically.”
Changing the game plan
While his leg injury kept him off the field, Phelps focused on improving his upper body strength and acing his courses at Iowa’s Tippie College of Business, where he studied management on the entrepreneurial management track. He regularly made the Dean’s List, earned Academic All–Big Ten recognition, and was a Big Ten Distinguished Scholar.
Phelps credits one of his business professors with ultimately inspiring him to sign up for the marathon.
“Dr. Eean Crawford taught us this concept of a ‘someday’ list, basically making a vision board for yourself by taking 20 to 30 minutes to brainstorm everything you want to do by the day you die. It made me think,” Phelps says. “So, that day I made my someday list. And I remember putting a marathon on there. I wanted to run a marathon. It was shortly after I had broken my leg, and it really motivated me. It gave me something to look forward to.”
Growing up in a family active in sports, Phelps had always been athletic, but he had never been injured. He participated — and excelled — in football, baseball, and track at Woodbury Central High School in Moville, Iowa. He was selected as a Kohl’s All-America punter, was named the Iowa Gatorade Track and Field Athlete of the Year in 2018, and earned first-team all-state honors in baseball. But he dreamed of one day becoming a Hawkeye and playing inside Kinnick Stadium. So, in 2020, after transferring to Iowa from North Dakota State University, he joined the football team as a walk-on.
“Coming from a small town of 1,200 people, being in Iowa City felt like being in Chicago to me. I fell in love with the city and the passionate Hawkeye fan base,” says Phelps, who had long admired former Iowa football players Reggie Roby and Tim Dwight. “I was also kind of a nerd in college. I took my grades seriously. I was the guy who arrived to class early with my notebook and sat in the front row. I chose entrepreneurial management because I’ve always wanted to be my own boss. I want to open a gym someday.”
Dealing with his first injury — a serious one at that — Phelps had to learn to navigate adversity. Karam’s quiet confidence that first day in the emergency department helped him.
“He was very calming and reassuring. I was able to trust him and put my faith in him, and everything turned out much better than I could ever imagine,” Phelps says. “I wouldn’t want anyone but Dr. Karam to do surgery on me.”
Fixing injuries—and dreams
Matthew Karam, also a native Iowan, grew up in Cedar Rapids and came to the University of Iowa to study biology. After attending medical school in Chicago, he returned to campus to complete a residency in orthopedic surgery, and in 2011, he was thrilled to join the UI medical faculty.
Working at the preeminent Level I trauma center in the state, Karam says, allows him and his colleagues to help patients with some of the most difficult and challenging cases in Iowa and the region. He performs surgeries daily, up to 10 a week.
“Nick’s injury was unique in that it was an isolated limb injury, but we often see patients with multiple injuries, or injuries coupled with a head injury or an abdominal injury. Those patients need a multidisciplinary team to take care of them,” Karam says. “At Iowa, we have breadth of experience and all the things needed to support complex-trauma patients. We have faculty committed to new discovery and scholarship on aspects of care delivery — and we also have trainees who can bring relevant and helpful information to the table.”
The successful recovery from a traumatic injury, Karam adds, can largely be dependent on a patient’s attitude, and Phelps was no exception.
“Nick was a motivated patient and committed to his own health. I think he saw this injury as a career-shifting thing that happened to him,” Karam says. “Having done this work for about 15 years, I’ve seen life-altering traumas inspire people to rise above in ways that are humbling and incredible to see. I’ve taken care of patients with amputations who suddenly have a new lease on life. That is not always the case, but it shows you the depth and determination of the human spirit. It’s remarkable.”
Converting injury to inspiration
Since graduating from Iowa and getting an MBA from Idaho State, Phelps has become a professional bodybuilder in Phoenix, competed in multiple powerlifting meets, and worked as a personal trainer and nutrition coach. He plans to use his experience recovering from a traumatic injury to help others by becoming a motivational speaker and writing a book.
“Concepts will include embracing our resilient mentality, overcoming adversity, and turning setbacks into motivation. Sharing my story to inspire others is something I feel passionate about,” he says. “I always had the mindset that I was never going to give up, no matter what, but I think a lot of people going through an injury like mine would have called it a career. I’m most proud of rehabbing back from that and not only finishing my football career but also becoming a professional bodybuilder and running a marathon. I think it speaks to my resilience and ability to overcome adversity.”
The player who hit Phelps? He also was out for the season, with a deep tibia bruise. Phelps calls the collision “a freak injury, a one-in-a-million type thing” but says it taught him a lot
“I’ve always been very active, always on the go, so being injured and unable to do the things I loved was hard,” he says. “But I learned that if you put your mind to it, the comeback will always be greater than the setback. And those setbacks, whether an injury or a difficult time in your life, can be used as a springboard toward future success.”
Photos courtesy of Nick Phelps
Iowa surgeon treats patients like family
After earning an undergraduate degree in biology from the University of Iowa in 2001, Matthew Karam of Cedar Rapids, Iowa, attended Chicago Medical School. He says he was fortunate to return to his native state, at first for a residency in orthopedic surgery and then to join the UI medical faculty in 2011.
Why?
“This is home for me. The people of Iowa are my people. I advise my patients like I would advise my own family. Most of the people I encounter are genuinely appreciative of the care I provide,” he says. “Plus, I like the team aspect of the care that we provide at the University of Iowa. I like doing the big, challenging cases, and I love to teach. I love to educate and be part of the cutting edge.”
As an orthopedic traumatologist in a Level I trauma center, Karam says he often sees patients on one of the worst days of their lives, so he approaches them with empathy.
“I recognize that when my patients first see me, it’s often because one of the worst things that will probably happen in their lives has happened. I try to bring the perspective I have gained from experience: Despite terrible circumstances, the vast majority of people heal and gain function back. When patients hear that on Day One, I think it can provide some inspiration.”
Patient Stories